CIUDAD DE MÉXICO.- Mientras realizaban una apendicectomía de rutina en una joven de 16 años, un grupo de médicos japoneses descubrió un tumor de ovario que contenía trozos de pelo enredado, una delgada placa de hueso y un cerebro en miniatura.
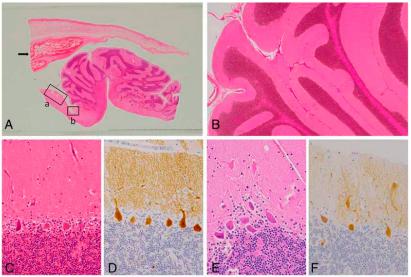
Según informó la revista New Scientist, los doctores “encontraron dentro del tumor pelo enmarañado y, aproximadamente, tres centímetros de estructura cerebral cubierta por una pequeña capa de hueso del cráneo”.

La estructura resultó ser, después de un detallado análisis, cerebelo, la parte del cerebro que se encarga del movimiento y que se encuentra, por lo general, debajo de los dos hemisferios cerebrales. El grupo de médicos, sorprendidos por el hallazgo, realizó un comunicado detallado para Neuropathology el pasado 2 de enero en el que especificaba: “Se encontró una gran cantidad de tejido cerebeloso bien diferenciado y altamente organizado. Tres capas de la corteza cerebelosa estaban, incluso, bien formadas”.

La revista New Scientist explica que “alrededor de una quinta parte de los tumores de ovario contienen tejido extraño incluyendo cartílago, grasa o músculo”. Este tipo de teratomas ováricos son, en su mayoría, benignos pero, sin embargo, pueden dar lugar a lo que se conoce como “gemelo parásito”, una formación humana sin vida adherida al cuerpo del recién nacido.

Con información de Vanguardia.




