Detienen al presunto homicida del joven Leonardo Avendaño

La Procuraduría capitalina realizó la detención del presunto homicida del joven Leonardo Avendaño la tarde de este miércoles.
Niños se gastan los ahorros de su tío jugando Fortnite

El dinero iba a ser usado por el tío y su pareja para unas vacaciones.
La golpean y lapidan, pierde bebé

Su pareja, junto a su padre y hermano la atacan.
Sujeto eyacula sobre joven en camión y pasajeros lo someten

Jorge “N”, de 38 años, fue golpeado por los usuarios que se percataron del acoso a una joven que iba dormida; policías de Apodaca, Nuevo León, lo detiene y lo traslada al MP.
Denuncian humillación a empleada de limpieza en Liverpool en Naucalpan

CIUDAD DE MÉXICO.- Con un vídeo difundido mediante redes sociales denunciaron la supuesta humillación a una trabajadora de limpieza de Liverpool Satélite donde se observa a una afanadora a la que obligaron a abrir las bolsas de basura del sanitario junto con los pañales sucios, toallas femeninas y deshechos. En la grabación se observa a […]
En Kenia está permitido matar a cazadores furtivos para proteger a rinocerontes

En los últimos tres años, el parque nacional suma 50 muertes de cazadores aproximadamente.
Banda MS y Snoop Dogg podrían grabar juntos una canción

Hace algún tiempo, Snoop Dogg compartió un video en su cuenta de Instagram en el que se podía escuchar ‘Tengo que colgar’ de la Banda MS
Perro sufrió severas quemaduras por caminar sobre pavimento caliente

Las heridas de Olaf fueron tan severas que el músculo vivo de las patas estaba expuesto.
Mujer abrazó al asesino de su hijo y lo perdonó en el juicio

La madre le dijo que lo perdonaba, y que solo él y su hijo sabían lo que ocurrió. Además le dijo que sabía que había mentido
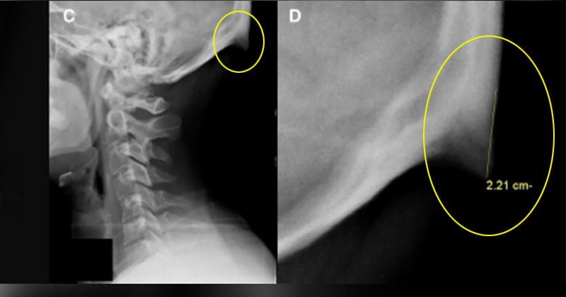
Uso de smartphones provoca que le crezca un ‘cuerno’ a las personas

El científico alertó sobre las consecuencias que trae el uso excesivo del teléfono celular.