FBI busca monitorear Facebook, Instagram y Twitter

El FBI ha estado buscando silenciosamente contratistas privados que puedan reunir y suministrar datos de usuarios de redes sociales
Millonario pone a prueba a su prometida; busca hombre encubierto que la seduzca

El hombre elegido para seducir a la prometida recibirá un salario y tendrá a su disposición autos de lujo
Thalía usa mariguana en su tratamiento de belleza

Thalía sorprende al usar cannabis sativa o marihuana en su tratamiento de belleza, colocando en su mascarilla natural extractos de la planta para hidratar su piel
Hombre le fractura el cráneo a niño de 13 años por no respetar el himno de EU

De acuerdo con testigos, el menor agredido por no quitarse el sombrero comenzó a convulsionarse en el suelo y empezó a sangrar de los oídos
Julión Álvarez orina en pleno palenque

En las imágenes que circulan en la red, el intérprete de “Afuera esta lloviendo” aparece atrás de unos instrumentos musicales rodeado de su equipo de trabajo.
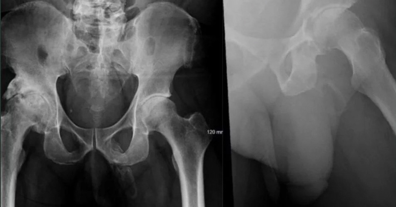
El extraño caso de un hombre que su pene se esta convirtiendo hueso

Un hombre fue al hospital por temor de haberse fracturado la cadera pero las radiografías mostraron algo inusual, su pene se estaba volviendo hueso
Agreden a ex subsecretario de Salud en la Carretera a Matamoros

El hecho ocurrió en las inmediaciones del paraje ‘El Moquetito’ al cual acudieron elementos de la Policía Estatal que conocieron del hecho.
Elefante mata a un cazador furtivo y su cuerpo es devorado por leones

El cazador furtivo que presuntamente estaba cazando rinocerontes en el parque Kruger de Sudáfrica
Amnistía Internacional advierte sobre viajar a EE.UU. por la violencia armada

AI recomienda «estar extremadamente vigilante en todos los momentos y ser consciente de la omnipresencia de armas de fuego entre la población».
Da Ayuntamiento voz a niños en Audiencia Ciudadana

El presidente municipal Xicoténcatl González Uresti y su equipo de trabajo, atendieron a los vecinos de la Colonia Corregidora.