En choque destrozan costoso Lamborghini y lo abandonan en la Roma

Curiosos que pasan por el lugar, se acercan y le toman fotos al vehículo que podría llegar a tener un costo de más de dos millones de pesos.
Solicitan operativo grúa alrededor del Estadio Tamaulipas

Vecinos de las colonias aledañas al Estadio Tamaulipas, solicitaron que se implemente el operativo grúa, ya que conductores obstruyen las calles principales.
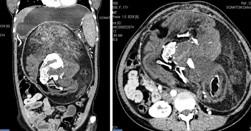
Joven vivió 17 años con un ‘gemelo’ dentro de su cuerpo sin saberlo

Los especialistas señalan que se trata de un fenómeno que ocurre en uno de cada millón de nacimientos del que existen menos de 200 casos registrados en la literatura médica.
Cientos de personas acuden a funeral de mujer fallecida en tiroteo en El Paso

El dolor humano pudo más, y sin importar que haya sido una total desconocida, cientos de personas velaron a Margie Reckard, una de las 22 víctimas del tiroteo
Choque en Playa Miramar dejó como saldo tres prensados

Tres personas prensadas y daños materiales de consideración, fue el saldo de un choque ocurrido la madrugada de este sábado en Playa Miramar.
Inicia operaciones estación Mobil en Altamira

La inversión es de 35 millones de pesos y contará con una tienda de conveniencia, y un restaurante.
Distinguen a profesor de la UAT como miembro de la AMH

Otorgan distinción de la Academa Mexicana de la Historia
Van al rescate turístico de Miqui y Llera

Para el segundo semestre del año, la Secretaría de Turismo revisará proyectos para impulsar el turismo en varios municipios del estado, dijo Fernando Olivera Rocha.
Las cabañas de Miquihuana son uno de los proyectos.
Inicia operaciones estación Mobil en Altamira

Este viernes se dio arranque de operaciones de la primer estación de servicio Mobil ubicada en el puerto de Altamira.
Iniciará éste año la CEAT obras de agua

Luego que presentaron los proyectos de los municipios de Victoria, Reynosa, Río Bravo, Tampico, Ciudad Madero, Matamoros y El Mante para mejorar el abasto de agua, algunos podrían iniciarse este año.