Arranca Infonavit programa de apoyo ante coronavirus

Desde el 15 de abril y hasta el 30 de junio, los acreditados podrán solicitar el apoyo para proteger su patrimonio y solvencia económica, ante la pandemia
Bisonte americano regresa a Coahuila cien años después

El bisonte americano se extinguió en México en la primera mitad del siglo XX.
Siguen cayendo las ventas de autos nuevos

En las 60 agencias automotrices de Tamaulipas las ventas de vehículos cayeron un 90 por ciento
La UNAM lanza plataforma sobre la COVID-19 en México; tiene mapa de casos y localizador de hospitales

En el portal se podrán conocer datos sobre la dispersión del coronavirus, cómo contribuir a su mitigación, poblaciones vulnerables y los contextos por los que se atraviesa México para enfrentar el virus.
Declaraciones del SAT ya se pueden hacer desde la web

A partir de este miércoles ya se encuentra disponible para contribuyentes personas físicas asalariadas de Ciudad Victoria la página web SAT ID
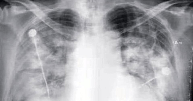
Lo que el coronavirus hace en el cuerpo

Desde tormentas de sangre hasta pulmones apanalados. He aquí un análisis, órgano a órgano, de los daños que el coronavirus (COVID-19) causa en las personas.
Se vuelca unidad de ruta en la colonia Tamaulipas

El chofer y los pasajeros que viajaban en el vehículo compacto, resultaron solamente con algunos golpes
¿Baño diario? La ciencia dice cuántas veces te debes bañar a la semana

Algunos señalan que debe ser diario, otros cada tres días, la pregunta sigue en el aire: ¿Cada cuánto tiempo hay que bañarse?
VIDEO. En plena cuarentena oso negro camina por calles de Monterrey

MONTERREY.- En Monterrey, Nuevo León, un oso negro fue captado mientras se paseaba tranquilamente por las calles de la ciudad. A través de redes sociales, las imágenes del gran animalito se han viralizado, pues se le observa tranquilamente caminar en la calles vacías entre los coches fuera de las casas. No son cisnes en Venecia pero sí son […]
GOAN urge a que federación active programa de emergencia

En una misiva dirigida al Presidente López Obrador, le señalan que apoyarán con todo lo que esté a su alcance