CIUDAD DE MÉXICO .- Actualmente el estrés es uno de los factores que nos hace tener diferentes hábitos y algunos de ellos puede ser el comerse las uñas.
Este acto puede resultar antiestético, pero lo más grave es que también es antihigiénico, lo cual puede poner en riesgo tu salud. Así que checa
nuestro listado de enfermedades que podrías tener sino eliminas esta práctica de tu vida.
1.- Podrías tener un sinfín de bacterias. Las uñas son un lugar ideal para que las bacterias
prosperen, y eso incluye la salmonella.

2.- Infecciones de uñas. Las personas que se muerden las uñas son susceptibles a paroniquia, una infección de la piel que ocurre alrededor de las
uñas. Esta condición dolorosa podría requerir ser drenada quirúrgicamente.

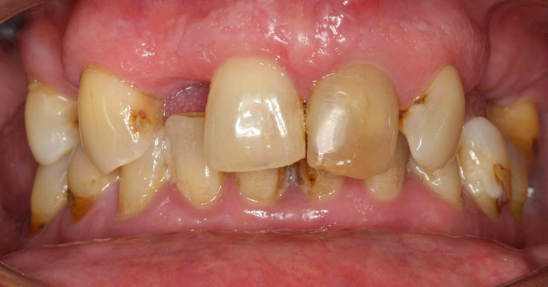
3.- Problemas Dentales. Morderse las uñas puede interferir en la forma en que los dientes superiores e inferiores se unen cuando se cierra la boca.
Es decir los dientes pueden salirse de su posición natural, deformarse, desgastarse prematuramente y con el tiempo se debilitarse.

4. Problemas psicológicos. Morderse las uñas es un hábito extremo que interfiere significativamente con la vida ya que causa dolor emocional y físico.

Deja de morderte las uñas
En caso de que quieras dejar de morderte las uñas, puedes seguir estos tips…
1.- Lleva un diario para identificar por qué te muerdes las uñas.
2.- Envuelve tus dedos con curitas o cinta aislante.
3.- Mantén tus uñas cortas o bien pintadas.
4.- Utiliza barniz de ajo. Trata de untarte una sustancia de sabor desagradable sobre los dedos.



