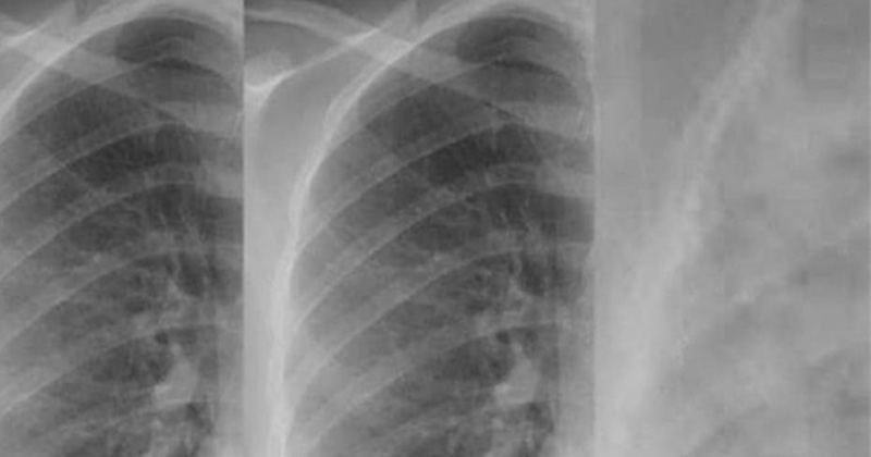
Doctora comparte imágenes de la afectación pulmonar en vacunados y no vacunados

Compartió una foto comparativa de rayos X realizados a pacientes que han superado el Covid-19, mostrando cómo afecta los pulmones en quienes no se vacunaron.
Disminuirá precio del gas LP a partir del domingo

El costo promedio nacional del gas LP que se comercializa por litro disminuyó 0.9 por ciento.
Alebrijes visitan el Rockefeller Center en Nueva York

Los alebrijes fueron elaborados por los escultores Jacobo y María Ángeles y buscan ser un homenaje a la comunidad oaxaqueña y mexicana de Nueva York
Realiza COMAPA Altamira campaña “Regularízate en este 2021”

Con vigencia al 31 de diciembre con una condonación de hasta el 100 por ciento en recargos
Capacitan a nuevos gobiernos municipales

Profesionalizan a los nuevos servidores públicos
Una leyenda musical; Jorge Marshal

La música de Jorge Martínez Salazar traspasó fronteras en México y Estados Unidos, logró grabar 14 discos con éxitos como ‘Mi pueblo’ y ‘Mi última canción’
Avanza la caravana migrante con rumbo a CDMX

El grupo se compone de personas procedentes de Centroamérica, Guatemala, El Salvador, Honduras, Ucrania, así como de Cuba y algunos de Haití.
Austria despenalizará el suicidio asistido para mayores de edad

El gobierno de Austria busca despenalizar el suicidio asistido a partir de enero de 2022 para mayores de edad.
‘Rick’ tocará tierra como categoría 2 en costas de Michoacán y Guerrero

El huracán Rick tocará tierra el domingo 24 de octubre siendo categoría 2; podría ser catastrófico para México.
Mariana Rodríguez se corta su cabellera en apoyo a niños con leucemia

Rodríguez había adelantado su postura esta mañana mediante sus historias de Instagram