
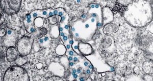
Pese a ligero incremento de casos Covid, restricciones se mantienen igual.
Los billares, cantinas, cervecerías y bares podrán operar al 90% sin restricción de horario.

Los billares, cantinas, cervecerías y bares podrán operar al 90% sin restricción de horario.

Desde hace una semana se ha estado presentando este problema de escasez de la gasolina, empresarios esperan que pronto se regularice

La fuerza del choque provocó que uno de los vehículos involucrados estuviera a punto de impactar contra un negocio

El médico Jorge Rosendo Sánchez, aclaró que el cubrebocas no detiene el contagio de esta enfermedad

De acuerdo a la Ley General de Instituciones y Procedimientos Electorales (LGIPE) se otorgó un periodo de campaña de 60 días y tras concluir esta fecha queda prohibido el proselitismo

Cada nido tiene de 80 a 120 huevos que eclosionarán en junio

El operador perdió el control del volante para después treparse al camellón

Paramédicos de la Cruz Roja auxiliaron a José Luis «N», de 80 años de edad, luego de ser encontrado inconsciente a bordo del vehículo