
Hombre lucha contra un canguro para rescatar a su perro
En las imágenes, se puede observar al perro, en apuros, siendo sostenido justo sobre el agua por un canguro salvaje

En las imágenes, se puede observar al perro, en apuros, siendo sostenido justo sobre el agua por un canguro salvaje

Personas que se encontraban en la zona documentaron lo sucedido con las cámaras de sus teléfonos celulares

La escena, que ocurrió en la ciudad turca de Adana, ha dado la vuelta al mundo y detonó la polémica por este tipo de agresiones

Los jóvenes, de nacionalidad colombiana, estaban grabando un clip para su canal de youtube, cuando unos extraños destellos en el cielo captaron su atención

Un payaso vestido como «Pennywise» de Stephen King, con pelo rojo, cuello y mallas con volantes suele sujetar el infame globo rojo mientras desfila por la calle durante la noche

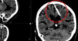
Médicos detallaron que el objeto estuvo alojado en su cerebro desde su nacimiento y explicaron que es probable que sus padres hayan trataron de matarla en su infancia

El dueño de ‘Firulais’ pedía que alguien adoptara a su perro, debido a que él se encontraba desahuciado en un hospital

La organización Human Rights Watch confirmó la utilización de esta peligrosa arma contra la población civil de Gaza